OPAL

Opal – SiO2.nH2O – is a tectosilicate (Dana, 8th ed.), found in many types of rock, it is very common. The precious variety fetches high prices.

For historical reasons, “opal” is still considered a mineral, but in reality it is composed of a mixture of cristobalite and/or tridymite or amorphous silica. There are 4 types of “opal”:

Opal-CT (with cristobalite and tridymite),

Opal-C (with cristobalite),

Opal-AG (with amorphous gel) and

Opal-AN (amorphous network, hyalite).

Transitions between different types of opal are common.

            Collectors distinguish more than 70 varieties of opal. Fluorescence in green, yellow, and white colors is relatively common in opals under both short- and long-wave UV light.

1. Characteristics

Crystal system: None.

Color: Colorless, white, yellow, red, orange, green, brown, black, blue.

Habit: Massive, mamelonate, botryoidal, reniform

Cleavage: No.

Tenacity: Brittle.

Twinning: No

Fracture: Irregular, conchoidal.

Mohs Hardness: 5.5 – 6.5

Parting: No

Streak: White.

Lustre: Vitreous, resinous, waxy.

Diaphaneity: Transparent.

Density (g/cm³): 1.9 – 2.3

 

2. Geology and Deposits

Common opal is relatively frequent and is most likely formed at room temperature and under lithostatic pressures. Having this origin, opal does not occur in metamorphic and plutonic rocks, but can be found in fractures associated with these rocks. In volcanic rocks it occurs as hyalite, a transparent and colorless opal that forms botryoidal aggregates in cavities and fractures of pyroclastic rocks, acidic and basic lavas.

In sedimentary rocks and other deposits (paleosols) opal is occasionally present. Opal is common as a speleothem in caves located in siliceous rocks (sedimentary, metamorphic or magmatic), forming various types of speleothems, including crusts on the ceiling, on the side walls and on fallen blocks on the floors. During the alteration of silicates, silica gel can be formed which crystallizes as opal, impregnating the rock.

Opal is a rock-forming mineral in diatomites and radiolarites as an organogenic product. It also occurs in siliceous sinter depositions, in geysers and geothermal sources. Siliceous sinter is often banded and finely granular, composed of amorphous opal, cryptocrystalline opal and quartz, along with detrital clasts. Silica sinters often have botryoidal textures and microspheres, silica laminated coatings and dissolution features. Geyserite is an opal-rich banded siliceous sinter. Fiorite is a term applied to geyserite of botryoidal forms. The analysis of these forms of silica under the petrographic microscope is difficult and in X-Ray Diffractometry they provide inconclusive diffractograms due to the low crystallinity.

 

3. Mineral Associations

Occurring in igneous, metamorphic and sedimentary rocks, opal is associated with a multitude of different minerals. There is no typical, characteristic and diagnostic paragenesis for opal.

 

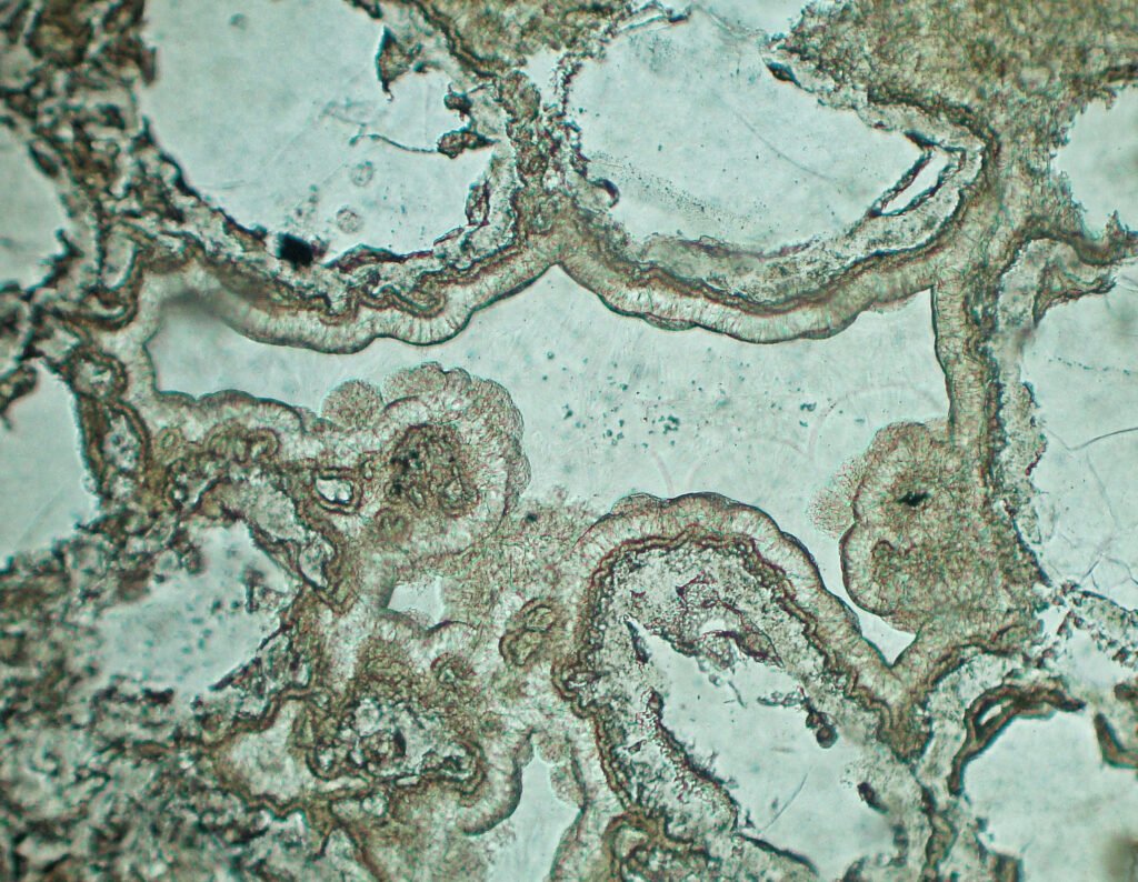
4. Transmitted Light Microscopy

Refraction indices:  nα: 1.400 – 1.460

PLANE POLARIZED LIGHT – PPL

Color / Pleochroism: Colorless, yellow or red (due to Fe hydrates).

Relief: Exceptionally low.

Cleavage: There is none. Sometimes it has irregular contraction fractures due to water loss (dehydration).

Habits: Amorphous and colloidal masses filling interstitial spaces, cavities (vesicles) and fractures; botryoidal and reniform aggregates, can form spheres, banded levels and others.

CROSSED POLARIZED LIGHT – XPL

Birefringence and Interference Colors: Isotropic, exceptionally anomalous birefringence may be present, due to stress-induced water loss.

Extinction: Isotropic.

Elongation sign: Isotropic.

Twins: Isotropic.

Zoning: Isotropic.

CONVERGENT LIGHT

Character: Isotropic.

2V angle: Isotropic.

Alterations: during the alteration process the opal is progressively replaced by chalcedony.

May be confused with: other isotropic materials.

Volcanic glass, analcime and the minerals of the Sodalite Group have higher refractive indices.

Fluorite has higher relief and excellent cleavage.

Chabazite (a zeolite) is not isotropic, but has low birefringence and zoning by sectors, something similar occurs with analcime.

 

5. Reflected Light Microscopy

Reflected light microscopy is not the recommended analytical method for the identification of opal. However, it is important to make a polished thin section or a polished section to identify the opaque minerals that may occur associated with opal.

Sample preparation: the preparation of opal is simple and follows other silicates to which it is associated. The absence of cleavage and large crystals facilitates polishing.

PLANE POLARIZED LIGHT – PPL

Reflection color: Dark gray, like quartz and feldspars.

Pleochroism: No.

Reflectivity: Very low (< 10%).

Bireflectance: No.

CROSSED POLARIZED LIGHT – XPL

Isotropy / Anisotropy: Anisotropy was not observed

Internal reflections: Generalized, clear, milky, sometimes yellowish due to the presence of iron hydroxides.

May be confused with: other light colored transparent minerals. There are no specific diagnostic aspects for recognizing opal in reflected light. Concentric bands are typical of chalcedony (agate), with which opal is often associated.

General Characteristics: 

Polishing scratches, depending on the structure of the “opal” material, can be abundant or completely absent.

Internal reflections can be more characteristic and diagnostic along fractures, holes and other polishing imperfections.

<